
年齢を重ねるごとに重要性が増す歯の健康。 全身の健康維持にも深く関わっており、生涯にわたって健康で快適な生活を送るためには、各ライフステージに応じた適切なケアが不可欠です。

歯科医師の野尻真里本記事では、小児期から高齢期まで、各年代で意識すべき予防歯科のポイントをご紹介します。
◆1.小児期:歯の土台を作る大切な時期。むし歯ゼロを目指そう!

※写真はイメージです乳歯から永久歯への生え変わり、顎の成長など、小児期のお口は、歯の基礎が作られる大切な時期です。 この時期にむし歯が作られやすいお口環境になってしまうと、健康な口内が作れず、お口の成長が健全に進まない可能性もあります。むし歯予防を徹底し、正しい歯磨き習慣を身につけることが重要です。
むし歯予防の徹底:
フッ素を活用する。フッ素は、歯質を強化して、むし歯になりにくい歯を作ります。自宅では歯磨き粉にフッ素の入ったものを使用して、定期的に歯科医院でもフッ素塗布を受けて下さい。フッ素は歯が生え始めた生後6カ月頃からすぐに使用し始めて下さい。
シーラント:
奥歯の噛む面にある溝を予防的に埋め、むし歯の原因となる食べかすや細菌が溝に溜まるのを防ぎます。シーラントは、一番最初の大人の歯が生えてきたら歯科医院で行いましょう。
正しい食生活:
間食の頻度や内容は重要です。ダラダラと長い時間食べず、おやつの時間をしっかりと設けましょう。また、おやつだけではなく、バランスの取れた食事も歯の健康には重要となります。
正しい歯磨き習慣の定着:

8歳児。自分での歯磨きでは不十分保護者による仕上げ磨きを行い、正しい歯磨き方法を身につけさせましょう。子どもの歯磨きは不十分で磨き残しが沢山あります。小学校低学年頃までは、保護者の方が仕上げ磨きを続けることが推奨されます。
子どもを膝の上に仰向けに寝かせ、頭を固定します。歯ブラシは小さめで、毛先が柔らかいものを選択すると痛みなく磨きやすいです。歯の表面、裏面、噛み合わせ面を丁寧に磨きます。この時にランダムでなく、磨き順を決めて磨くことで磨き残しを防ぐことができます。特に磨き残しが多くむし歯になりやすい奥歯から磨き始め、前歯に移るのがオススメです。3分程度を目安に磨いたらお口をゆすいでもらいましょう。
また、この仕上げ磨きをする期間に、子ども自身がしっかりと歯磨きできるようになることが大切です。歯科医院での歯磨き指導を受け、自立した歯磨き方法を習得しましょう。
歯科医院は、歯が生え始めたらフッ素塗布に行き始めるのが理想的です。長く通うことで歯科医院でも何か異常があった時に気が付きやすい、保護者も相談しやすいというメリットがあります。
治療で初めて訪れる歯科医院では、子どもの恐怖心をあおってしまいます。予防目的での来院は痛い思いをしないため、子どもの歯医者嫌いを防げるというメリットもあります。
歯並びのチェック:
早期に歯並びの問題を発見し、適切な治療を開始することで、将来的な歯並びの問題を防ぐことができます。矯正の治療は、大人よりも子どものうちに行った方が歯が動きやすく、期間も費用も少なく済み、歯も動きやすいです。
(広告の後にも続きます)
◆2.成人期:歯周病に要注意!歯茎トラブルを起こさないためのケアを

※写真はイメージです仕事や育児など、忙しい毎日の中でも、定期的な歯科検診と適切なケアを継続することが大切です。 むし歯に気をつけるのはもちろんですが、成人では歯茎のトラブルが起こりやすく、進行してしまってからでは手遅れとなることが多いです。歯周病リスクを軽減し、健康な歯茎を維持しましょう。
そのためには、毎日の丁寧なブラッシングと、歯間ブラシやデンタルフロスを使った歯間のお手入れも欠かせません。
丁寧なオーラルケア:
歯磨き残しがないかどうかは、歯科医院で定期的に確認をして、教えてもらったアドバイスを実践しましょう。また、歯間は、歯ブラシでは磨くことができません。デンタルフロスや歯間ブラシは必須です。また、舌上の汚れもケアできるとより良いです。

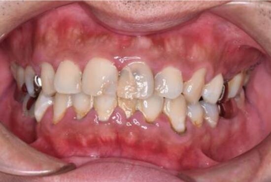
30代男性。歯石などの汚れが付着して歯茎が炎症している。むし歯もみられる定期的な歯科検診:
むし歯や歯周病の早期発見のため、定期的に歯科医院を受診しましょう。特に歯周病は、早期の発見が重要です。毎日の丁寧なケアと専門家によるプロのクリーニングで、歯垢や歯石を除去し、歯周病を予防します。歯周病の初期症状が見られる人は特に注意が必要です。初期症状には、
・歯磨き時に出血がある
・歯茎がムズムズする
・歯が浮いた感じがする
・歯茎が腫れぼったい
・歯茎が下がった、歯が伸びた感じがある
・口臭がある
・お口のネバツキを感じやすい
・知覚過敏で歯がしみるようになった
といった症状があります。自分も当てはまるかもと思ったら早めに受診しましょう。

