実は、歯ブラシだけでは歯と歯の間の汚れ、つまりお口の中の汚れのおよそ40%を取りきれず、残ってしまうといわれています。歯科の現場において、「フロスや歯間ブラシを使っている人」と「使っていない人」の口内では、10年後に明確な差が出ているのが事実です。

◆「毎日磨いているのにむし歯ができる」その理由は“歯と歯の間”にあるかも

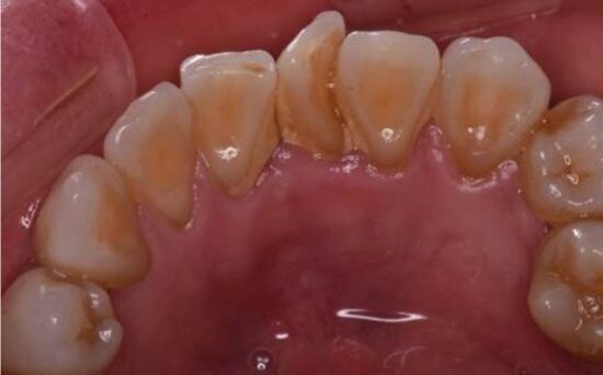
歯の表面はきれいに磨けていても、歯磨きで落とせるのは全体の約60%。残りの40%は“フロス・歯間ブラシの領域”です。 歯と歯の間にできたむし歯を治療するには、2本の歯を削る必要があり、詰め物では対応できず、被せ物や神経の治療、さらには抜歯が必要になることもあります。
◆“フロス・歯間ブラシをしない人”が10年後に後悔する3つの理由

①歯石がたまりやすくなる……歯と歯の間に残った歯垢はやがて歯石となり、歯周病菌が繁殖しやすい環境をつくります。歯石があると歯周病はさらに進行しやすくなります。
②口臭の原因になる……歯垢の蓄積は口臭の原因にもなります。特に歯周病由来の口臭は独特で、悩みの種になることも多いです。口臭が気になる方には、歯間清掃の習慣化は不可欠です。
③歯を失うリスクが高まる……歯周病は自覚症状がないまま進行し、気づいたときには抜歯が必要になることもあります。特に歯間の根元部分にできたむし歯は、抜歯のリスクが高くなります。
こうしたトラブルから歯を守る最大の予防策が、“歯間清掃=フロス・歯間ブラシ”なのです。

