実は、年齢や寝不足だけのせいではありません。連休中は、生活リズムが崩れ、お口のケアや食事習慣が乱れやすくなります。みなさん、お正月中の食生活はどうだったでしょうか。

◆「お餅+お酒」が口内環境を一気に老化させる理由

飲食をすると、口内は一時的に酸性に傾きます。この状態が長く続くと、歯の表面では脱灰(歯が溶け出す現象)が進みやすくなり、むし歯のリスクが高まります。

さらに、
お餅:歯にくっつきやすい
お酒:唾液の分泌を減らす
この組み合わせにより、むし歯菌・歯周病菌が活発になり、歯の表面(エナメル質)が弱り、むし歯だけでなく口臭や歯茎トラブルも起こりやすくなります。これが、「口内老け」を引き起こすのです。
◆野尻先生流・正月明けの「口内リセット習慣」
ここで大切なのは、「頑張るケア」ではなく乱れた習慣を整えること。新年に意識してほしいポイントは3つです。
1.高濃度フッ素で強い歯に

高濃度フッ素配合の歯磨き粉を使った後は、成分が歯に残るように少なめのお水で1~2回のみすすぐのがポイントです。
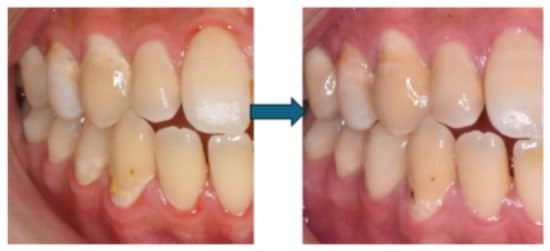
2.歯間・歯茎ケアを「夜の習慣」にする

ポイントは3つ。
・タイミング:歯磨きの前
歯磨き前に歯間の汚れをしっかりと落としましょう。
・時間:夜は必ず行う
夜間は、むし歯や歯周病が進行しやすい時間帯です。汚れはしっかりとオフしましょう。
・使い方:歯の両側面に沿わせて動かす
(歯の詰まりを取るだけにならないよう注意)
久しぶりにフロスを通して出血したり嫌な臭いがしても驚かないでください。それは歯茎が炎症しているサインです。毎日ケアをし続けることで、早ければ1~2週間で炎症が治まり、出血はなくなり、臭いも消え、引き締まった健康的なピンク色の歯茎に戻ります。もし、治りが悪い場合はすぐに歯科医院で相談をしましょう。
3.プロの検診で「1年の健口」を予約する
去年できなかったことは、今年から少しずつで構いません。
歯間清掃、舌清掃、定期検診のスケジュール化、糖に偏ったお食事、夜のささっと歯磨き……改善しなきゃとわかっていても、行動に移せなかったことはありますか?
新年の始めに歯の検診とクリーニングを受け、清潔な口内環境から1年をスタートするのがおすすめです。検診では、今改善すべきこと、今年習慣化したいことがわかります。
セルフケアを丁寧にすることは大切ですが、プロのケアや検診は必ず必要です。
お口は、栄養・酸素・会話の入り口で、全身の健康に繋がります。今年こそは健康のために生活習慣を整えたいですね。

