◆なぜ“唾液力”は年収や印象に影響するのか?

また、歯周病による慢性的な炎症は体内でエネルギーを消耗させ、集中力や判断力を鈍らせることがあります。ビジネスにおいて、パフォーマンスの質は収入と比例しやすいです。コンディションの差は、そのまま成果の差になるという点からも口を含めた全身の健康は重要なのです。
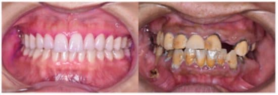
そして、口元が乾いていると、くすみや縦ジワが目立ち、疲労感や老けた印象を与えやすくなります。潤いは若々しさと清潔感を象徴する要素です。実際、唾液量が十分にある人は口腔環境が整い、自然と爽やかな印象を持たれやすいです。唾液を失っていることは、まさに高級美容液をドブに捨てているようなものです。
「口が若い人は、清潔感がある」
これは感覚論ではありません。清潔感は、信頼の前提条件です。信頼があって初めて、人は話を聞き、依頼し、契約を結ぶのではないでしょうか。
◆唾液は“若さの貯金”
男性のアンチエイジングというと、筋トレやスキンケアに目が向きがちです。
しかし本当に差がつくのは、見えない部分のケア。唾液は、若さを守るための“貯金”のようなものです。減ってから焦るのではなく、減らさない習慣を持つことが重要です。
男の老けは、肌よりも先に口に出る。その鍵を握っているのが、“唾液力”という新常識なのです。
<文/野尻真里>
【野尻真里】
一般診療と訪問診療を行いながら、予防歯科の啓発・普及に取り組んでいる歯科医師です。「一生涯、生まれ持った自分の歯で健康にかつ笑顔で暮らせる社会の実現」を目標にメディアで発信をしています。X(旧Twitter):@nojirimari

