
◆健康診断ではわからない「もう一つの生活習慣リスク」

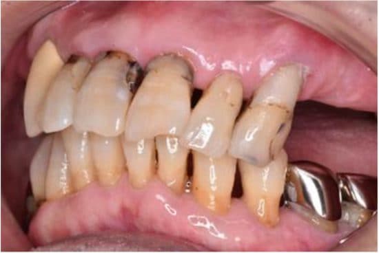
歯周病とは、歯と歯茎の境目(歯周ポケット)に細菌が増殖し、歯の周囲、骨や歯茎に炎症が起こる病気です。「朝起きた時に口がネバネバする」「歯磨きで出血する」「歯茎が下がってきた気がする」など歯周病の初期のサインは、大きな症状ではないため見落としがちです。特に、歯周病菌が発するガスは、強烈な口臭の原因となるのですが、本人はなかなか気づけないものです。
ビジネスシーンにおいて、口臭は第一印象を悪くしてしまうリスクがあり、歯周病の初期のサインの中でも一番深刻な問題です。知らぬ間に「スメハラ(スメルハラスメント)」の加害者になっているかもしれません。日本の成人の多くが、歯周病の兆候を持っていると言われています。歯周病が進行すると、歯周病菌が血管に入り込み、全身に影響を与える可能性があります。
◎歯周病の初期サイン
・歯磨きをすると出血する
・歯茎が下がって歯が伸びた感じがする
・歯茎がむず痒い
・歯が浮いているような感覚がある
・噛むと痛い時がある
・朝起きた時に口の中がネバネバする
・口臭が気になる
・舌で口の歯をなぞるとザラザラする
◆男性ほど歯周病リスクが高い理由

・喫煙量が多い(ヘビースモーカー)
・仕事によるストレスと慢性疲労
・外食など不規則な食生活
・歯科医院の受診率の低さ
・多忙から時間がなく歯磨きが疎かになりやすい
忙しさとストレスから、生活習慣が乱れやすく、歯周病のリスクを高めているのです。

