脳トレ四択クイズ | Merkystyle
歯みがきシートって本当にきれいになるの?災害の備えに最適な歯のケアアイテムとは

歯みがきシートって本当にきれいになるの?災害の備えに最適な歯のケアアイテムとは


災害時や水の使用が限られる際の歯みがき方法について、これまで何度か防災ニッポンでも紹介してきました。なかには「災害時に便利!」とうたって販売されている歯みがきアイテムも目にすることがあります。

実際にはどれを使うと一番水を節約できて、一番きれいになるのでしょうか。歯垢染色液を使いながら3つの方法を試し、どの方法が最適かを考えます。

普段のやり方でどのくらい水を使う?きれいになる?

まずは普段の歯みがき方法でどのくらい水を使い、どのくらいきれいになっているのかを知る所から始めてみます。

私が普段使っているアイテムはこちら。

フロスをしてから、普通の歯ブラシに歯磨き粉を付けて歯を磨き、小さいブラシで細かい箇所を磨いて口をゆすいでから、さらに洗口液でゆすいで完了です。

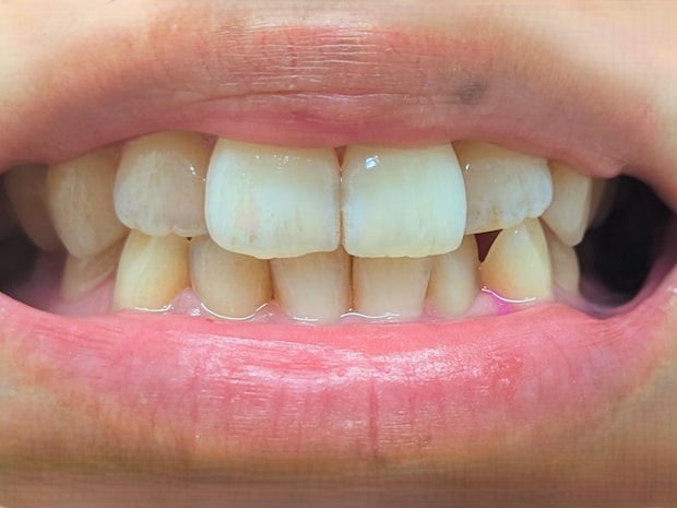
歯がどのくらい磨けているか確認するために、こちらの歯垢を赤く染める液体歯磨きを使用します。

歯のケアを始める前(昼食後)に歯垢を赤く染めた状態はこちら。

5分ほど磨き、全ての工程を終えたら、ここまできれいになりました。

使った水の量を計測したところ、歯ブラシを流水でゆすぐのも含めて、300mlほどでした。

普段のケアで使用する水の量と、どのくらいきれいになっているのかがわかりました。これを基準に、この後紹介する3つの方法でどのくらい水が節約できるか、どの程度まできれいにできるかを見ていきましょう。

水の使用量を抑える3つの方法にトライ

今回紹介するのはこちらの3つの方法です。

・ 歯ブラシ+少量の水を使う方法
・ 歯ブラシ+液体歯磨きを使う方法
・ 歯みがきシートを使う方法

それぞれの方法でどのくらい水を使うのか、どのくらい歯がきれいになるのか試していきます。
※歯みがきの時間は5分です。

歯ブラシ+少量の水を使う方法

以前防災ニッポンでもお伝えした方法です。

そのときの記事はこちら
災害でも歯のケアは大切!少量の水でできる歯磨きや洗浄剤を紹介します

【方法】
少量の水が入ったコップ2つ(ブラシ部分が浸かる程度の水が入ったコップA、30ml程度の水が入ったコップB)、水で濡らしたティッシュペーパー、歯ブラシを使用します。

① 水で濡らしたティッシュで唇を濡らす
② コップAで歯ブラシを濡らす
③ 歯ブラシで歯を磨く
④ 磨いている最中、適宜濡れティッシュで歯ブラシを拭い、コップAで歯ブラシをゆすぐ
⑤ コップBの水で少なくとも2回口をゆすぐ

ケア前の状態はこちら。

ケア後の口の状態はこちらです。普段の磨き方よりは歯垢が残ってしまっている気がしますが、問題の無い範囲のように見えます。

使った水の量は、ティッシュを濡らす水も含めて60mlほど。かなり水を節約できました。

水をもう少し用意できる時には歯磨き粉を少量使用し、用意があれば歯みがきの後に洗口液を使ってもOKです。ちなみに、今回はミント味の歯磨き粉や洗口液を使わなかったため、さっぱり感は弱めでした。

この方法はコップを2つ用意しなければならず、少しハードルが高いと思いました。特に水が使えない時はコップを洗うことも難しいですし、使い捨てコップを使うにしても限りがあります。

歯ブラシ+液体歯磨きを使う方法

水をほぼ使わずにできる方法です。

こちらの方法も以前防災ニッポンで紹介しました。
災害でも歯のケアは大切!少量の水でできる歯磨きや洗浄剤を紹介します

【方法】
必要な物は、液体歯磨きと歯ブラシのみです。
① 液体歯磨きを既定の量口に含んで口をゆすぎます。
② 歯ブラシで歯を磨きます。
※水で口をゆすいでも良いですが、必須の工程ではありません。

ケア前の口の状態はこちら。

ケア後の口の状態はこちら。さきほどの少量の水を使う方法と同じくらいきれいになったように見えます。

歯みがき後に歯ブラシをコップに溜めた水で洗ったので、水の使用量は20mlほどでした。

この方法をする際は、パッケージに「液体歯磨」と記載している商品を選んでください。似たようなもので「洗口液」がありますが、それは歯磨き後のゆすぎ用のアイテムです。

歯ブラシ+少量の水の方法より、液体歯磨きのミント味で口の中がサッパリしました。

歯磨きシート

一般的なウェットシートと同様の形状の商品も多いですが、今回は指型のタイプを使用します。

使ったものはこちらの商品です。

▼無印良品「指型歯みがきシート」
https://www.muji.com/jp/ja/store/cmdty/detail/4550584473371?web_store=search_item

シートが2層になった構造で、指にはめて使うので指から外れる心配がなく、側面部分を使うと細かい場所まで比較的磨きやすいです。

【方法】
① 歯磨きシートを指にはめる
② 歯を磨く

ケア前の状態はこちら。

ケア後の状態はこちらです。

やはり細かいところまで磨くのは難しかったです。写真だと見えにくいですが、歯の重なった箇所や歯間は磨き残しが目立ちました。

メントールによるスースー感はあるものの、舌で歯を確認するとザラつきが残っており、いつもの歯磨き後のようなサッパリ感はありません。
(なお、水は一切使いませんでした)

この方法でのケアが数日にわたって続くと、虫歯などのリスクが高くなってしまうことが考えられます。フロスと併用すると、少し安心感があるかもしれません。一日など短期間で使う、人と会う前に少しきれいにしておきたい、などピンポイントで使用する場合には便利だと思います。

また、シートにメントールが使われているため、シートが唇に触れる際に刺激を強く感じることがありました。メントールが刺激に感じる人は、子ども用の歯磨きシートを使うのがおすすめです。

配信元: 防災ニッポン