
アメリカのコーネル大学の研究チームが、マウス実験で「投与するだけで避妊でき、やめればきちんと元に戻る男性用の薬」の実証に成功しました。
研究では子供の世代のオスの精子生産の安全性まで確認されています。
論文著者のコーエン氏も「これは、完全な減数分裂、完全な精子機能、そしてさらに重要なことに、生まれた子孫が完全に正常であることを示しています」と述べています。
研究の詳細は、2026年4月7日付で学術誌『Proceedings of the National Academy of Sciences(米国科学アカデミー紀要)』に掲載されました。
目次
- 毎秒1000個の精子工場をどう止めるか
- 精巣だけにある「指揮者タンパク質」を狙う
- 安全性を子ども世代まで追いかけた
毎秒1000個の精子工場をどう止めるか

男性用避妊薬の開発が難しい理由は、単純に「止めるべき相手の規模が桁違い」だからです。
女性は通常、月に1回1個の卵子を排出します。
一方、男性の精巣は毎秒およそ1000個以上の精子を作り続けている巨大な工場のようなもの。
この工場を一時的に止めて、しかも望んだときにはすぐ再稼働できるようにするのは、とんでもなく難しい技術課題でした。
これまでの男性避妊薬の候補は、そのほとんどが男性ホルモン(テストステロン)をいじるものでした。
しかしホルモンに手を加えると、気分の変動や性欲の変化、肝機能への影響など、副作用が課題になりやすく、そのため臨床試験が難航するケースが相次ぎました。
では、ホルモンを使わずに精子工場をどこで止めればよいのでしょうか。
精子ができあがるまでの過程は、大まかに3つの段階に分かれます。
第1段階は、精子のもとになる「精子幹細胞」が増える素材調達の段階。
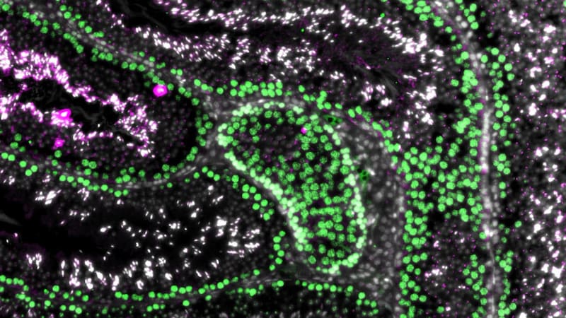
第2段階は、染色体を半分にして組み換える「減数分裂」という部品加工の段階。
第3段階は、しっぽがついて泳げるようになる最終組み立ての段階です。
ここに大きな落とし穴があります。
第1段階を止めてしまうと、素材そのものを失って二度と精子が作れなくなる危険があるのです。
逆に第3段階で止めても、すでにできあがった精子が体に残っていて避妊に失敗する可能性があります。
そこで研究者たちが狙ったのが、ちょうど真ん中の第2段階、減数分裂の前期でした。
ここを短期間だけ止めれば、素材である幹細胞には手をつけず、かつ完成済みの精子も数週間で使い果たされます。
精巣だけにある「指揮者タンパク質」を狙う

では具体的に、その”真ん中の段階”のどこを狙うのか。
ここで重要になるのが「数千の遺伝子が一気に読み出される爆発的な転写現象(パキテン転写バースト)」です。
名前からして大げさですが、実際大げさなイベントです。
精子完成に必要な数千の部品レシピを、細胞が一気に読み出す瞬間——全生産ラインに一斉号令がかかる、工場の祭りのような時間。
この祭りが中止になれば、精子はその間完成しません。
この大号令を出している指揮者が、BRDTというタンパク質です。
そしてこのBRDT、驚くべき性質を持っています。
人間の体の中で、精巣にしか存在しないのです。
脳にもない、心臓にもない、肝臓にもない。
精巣の専属スタッフです。
このBRDTを狙うために現在使える薬として知られているのが「JQ1」という薬です。
もともとはがん研究のために作られたJQ1ですが、2012年にテキサス・ベイラー医科大学のMatzukらのグループが男性避妊薬の候補として初めて報告しました。
ちなみにJQ1という名前は、この化合物を合成したハーバード大学の化学者ジェームズ・ブラッドナー(James Qi Bradner)のイニシャルに由来します。
しかし、この”本当に元に戻るのか”という根本的な問いへの回答は、長らく保留されたままでした。
精子の数は戻っても、遺伝子の働きは元に戻っているのか。
染色体の組み換えに狂いは残らないのか。
そして最も重要な問い——その後に生まれる子どもに影響はないのか。
ここを徹底的に検証した研究が、これまで存在しなかったのです。

